
이불 정리하던 엄마, 과도 튀어 세 살 아이 머리에…충격적으로 침착했던 그날
얼마 전 중국 윈난성 쿤밍의 한 병원에 머리에 과도가 박힌 초등령 아이가 당당하게 걸어 들어온 사건이 공개되며 전 세계가 놀랐다. 특히 사고 원인이 ‘이불 정리 중 과도가 날아간 사고’라는 사실이 알려지며 논란은 커졌다.
사건의 전말: 이불 정리하다 튕겨 나온 과도
2025년 8월 15일, 쿤밍 둥촨 인민병원에서 촬영된 영상이 SNS와 주요 언론을 통해 확산되었다. 세 살 여자아이가 과도 날이 오른쪽 머리에 박힌 채 엄마와 함께 침착하게 병원의 입구를 지나 접수대까지 걷는 모습은 많은 이들의 숨을 멎게 했다.
의료진 조사 결과, 사고 당시 아이의 어머니는 “악운을 막기 위해 베개 밑에 과도를 넣어두었고, 이불을 정리하던 중 과도가 튀어 아이 머리를 가격했다”고 설명했다. 이 설명은 “정말 일상적인 순간에 벌어진 믿기 어려운 사고”라는 반응을 이끌었다.






아이의 비정상적 침착함에 다들 경악
놀라운 것은 아이의 반응이었다. 머리에 칼이 박힌 상황임에도 울거나 크게 당황하는 대신 아이는 조용히 엄마를 따라 걸었다. 의료진과 다른 환자들 모두 그 평온함에 놀랐고, 누리꾼 사이에서는 “어린 아이가 어떻게 이런 상황에서 이렇게 차분할 수 있나” 하는 놀라움이 쏟아졌다.
의료진에 따르면, 이런 침착한 반응은 외상성 충격에 따른 일시적인 통증 인지 억제 현상일 가능성이 있다고 한다. 아이의 두개골이 아직 부드러운 상태였기 때문에 과도가 깊이 박힐 수 있었지만, 다행히 민감한 뇌 부위는 피한 것으로 보인다.


즉시 병원 이송, 적절한 수술로 생명 지켜
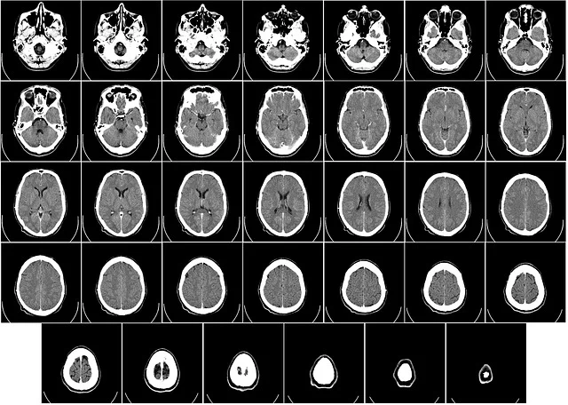
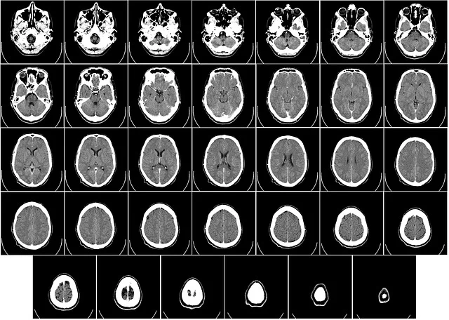
의료진은 영상 촬영 후 즉시 컴퓨터단층촬영(CT)으로 과도의 위치와 깊이를 정밀 분석했다. 이후 곧바로 응급 수술을 실시했고, 성공적으로 과도를 제거할 수 있었다. 현재 아이의 상태는 비교적 안정적인 회복 단계에 있는 것으로 알려졌다.
의료 전문가들은 “현장에서 과도를 억지로 빼려 했다면 대량 출혈 또는 2차 손상이 발생했을 수 있었다. 즉시 전문 치료를 받은 것이 생명선이었다”고 입을 모은다.



사고 처리: 경찰도 ‘단순 사고’로 결론
현지 경찰은 해당 사건을 범죄가 아닌 명백한 사고로 규정했으며, 법적 대응은 필요 없다는 입장을 밝혔다. 공교롭게도 너무나 평범한 가정의 일상에서 벌어진 ‘예기치 않은 사고’였다는 점이 더 큰 충격을 줬다.
가정 내 안전 점검, 작은 습관이 큰 사고를 막는다
- 날카로운 도구는 사용 후 항상 수납장에 정리하고, 침구나 장난감 주변에 두지 않기
- 베개 밑이나 침대 주변에 도구를 보관하는 위험한 습관은 반드시 없앨 것
- 아이와 놀거나 장난치는 중에 물건을 들고 위협하거나 겁주는 행위는 매우 위험
- 사고 시 이물질은 절대로 꺼내려 하지 말고, 최대한 고정 상태로 신속히 병원 이송
이번 사건은 평범한 가정에서도 안전 불감이 사고로 이어질 수 있다는 경고를 던진다. 부모의 평소 행동 하나, 생활 환경의 작은 정리 습관 하나가 사고의 위험을 줄일 수 있다는 사실을 다시금 상기시킨다.
단순히 ‘머리에 칼이 박힌 아이의 침착한 병원행’이라는 충격적인 장면이 아니라, 사고 순간과 그 대처 방식, 사고 이후의 의료 대응, 그리고 무엇보다 일상에서 안전을 어떻게 지켜야 하는지를 깊이 고민하게 하는 사건이었다. 이 글을 읽는 분들도 혹시 모를 상황에 대비해 주방, 침실, 장난감 공간 등 가정 보호 환경을 반드시 재점검해보시기를 바란다.
- Must Share News, “Girl arrives at hospital with fruit knife lodged in her head”, 2025-08-18. 어머니의 베개 밑 과도 보관과 정리 중 사고 설명
- 서울신문, “머리에 과도 꽂힌 채 병원 찾아온 3살 소녀”, 2025-08-20. 베개 밑·정리 중 사고 진술 보도.
- Nate 뉴스, “어머니가 침구 정리 중 과도가 날아간 단순 사고”, 2025-08-25. 경찰 ‘단순 사고’ 결론 보도.
- 조선일보/Daum, “침착하게 걸어간 세살 아이”, 2025-08-25. 침착함과 의료 대응 사례 집중 보도.